症例集
インプラント治療を含む症例
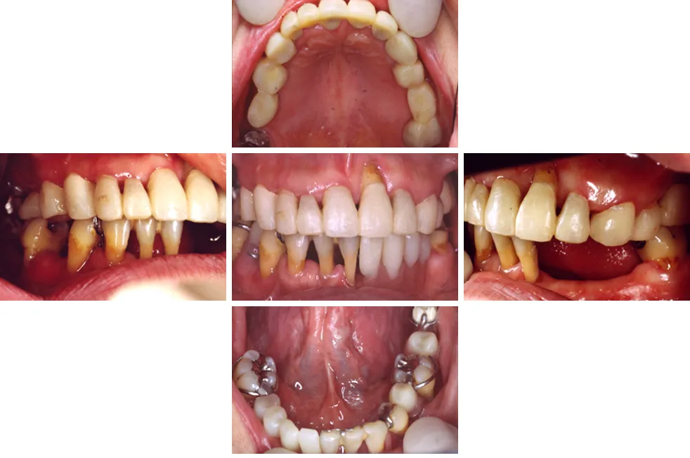
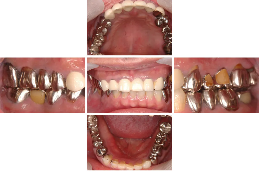
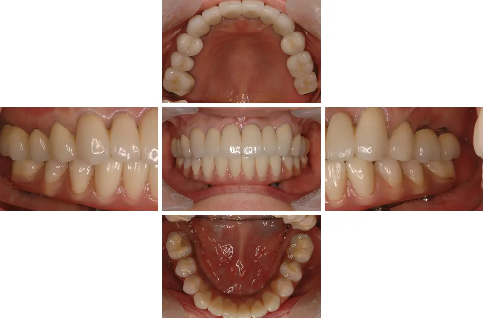
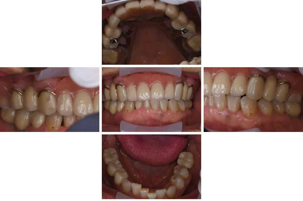
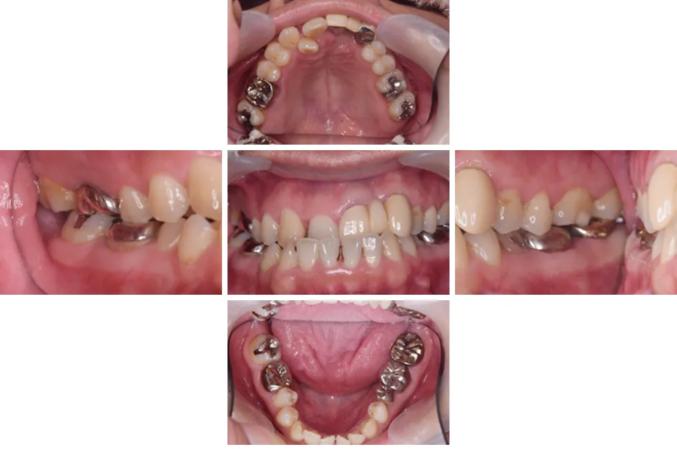
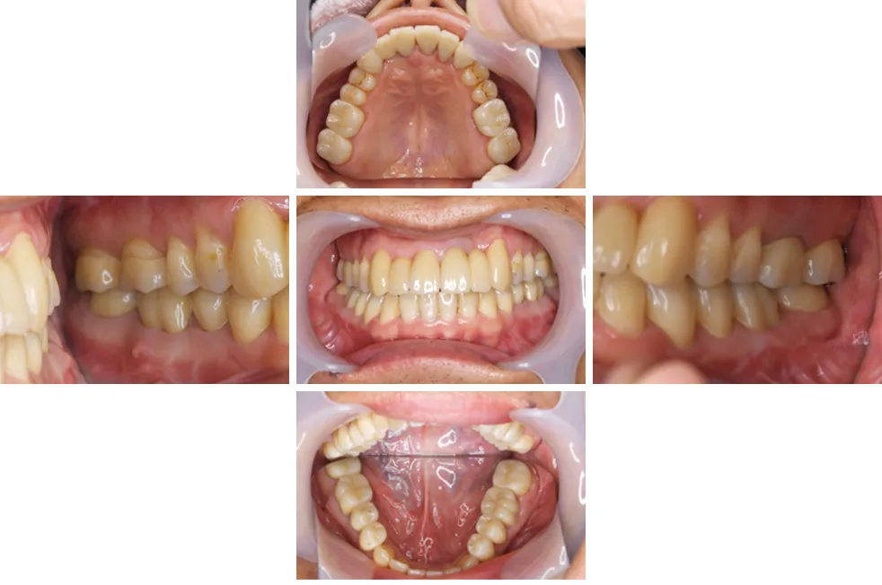
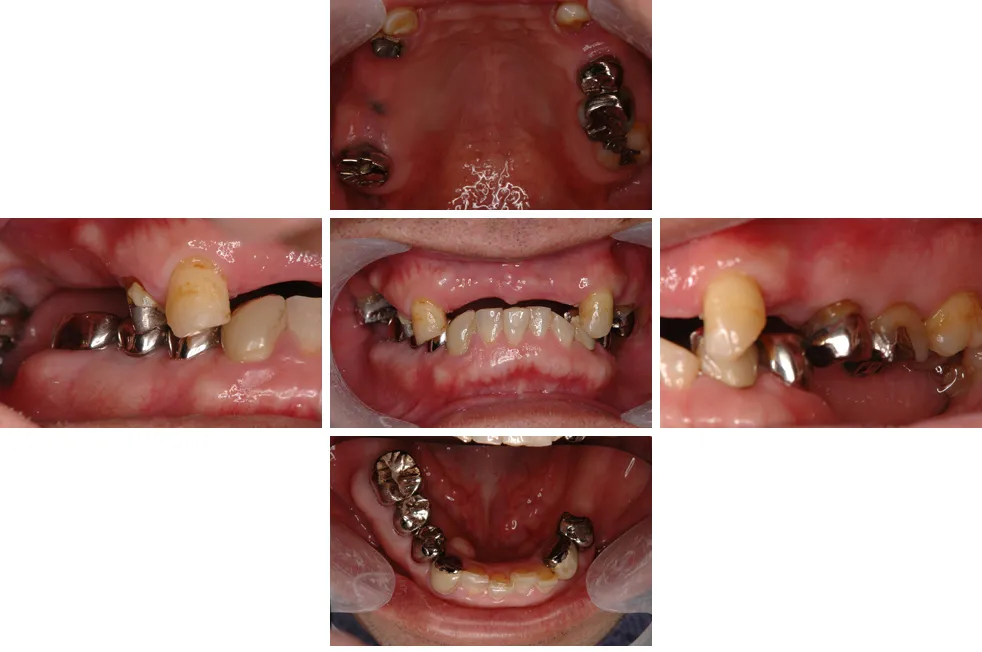
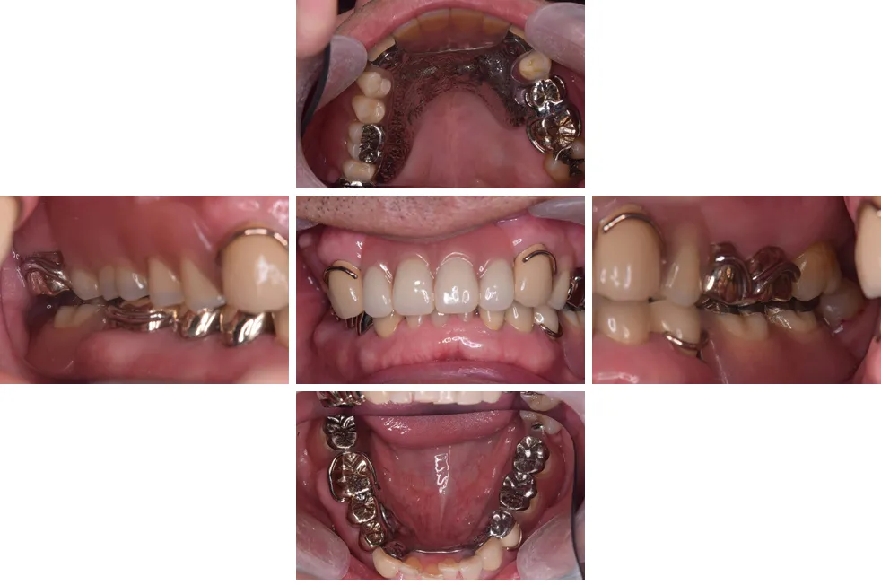
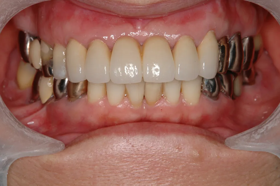
インプラント治療(ボーンアンカードブリッジ)
BEFORE

AFTER

- 年齢:
- 60代
- 性別:
- 女性
- 施術名:
- インプラント治療(ボーンアンカードブリッジ)
- 施術説明:
- 下顎の欠損部位にインプラント植立し、高床式固定制ブリッジを装着。上顎は全顎被せもの。
- デメリット:
- 外科処置による腫れ。
- 費用:
- 17万6000円~(1本)
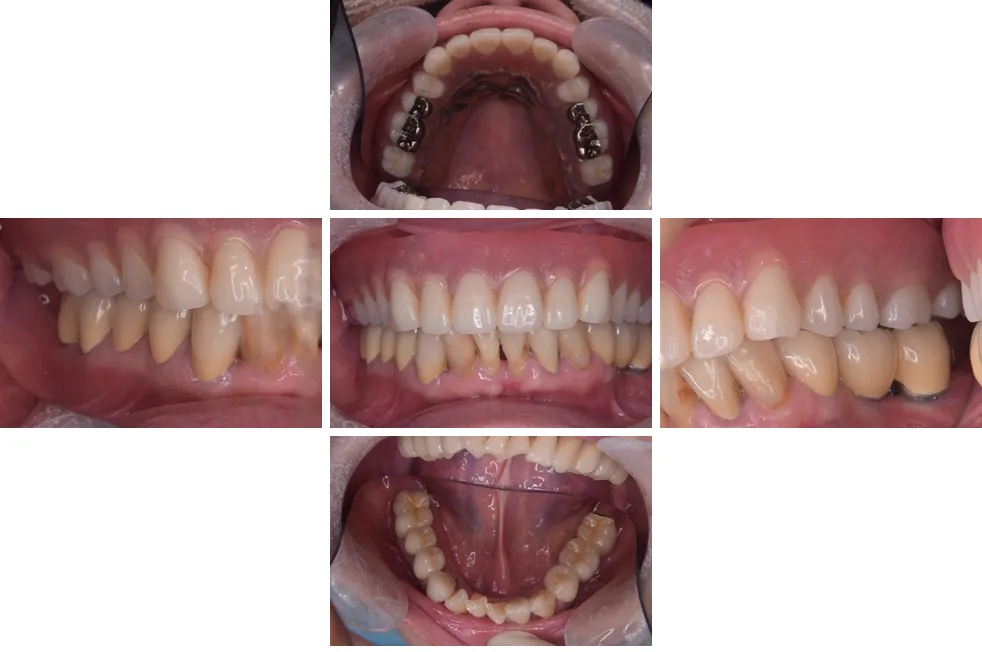
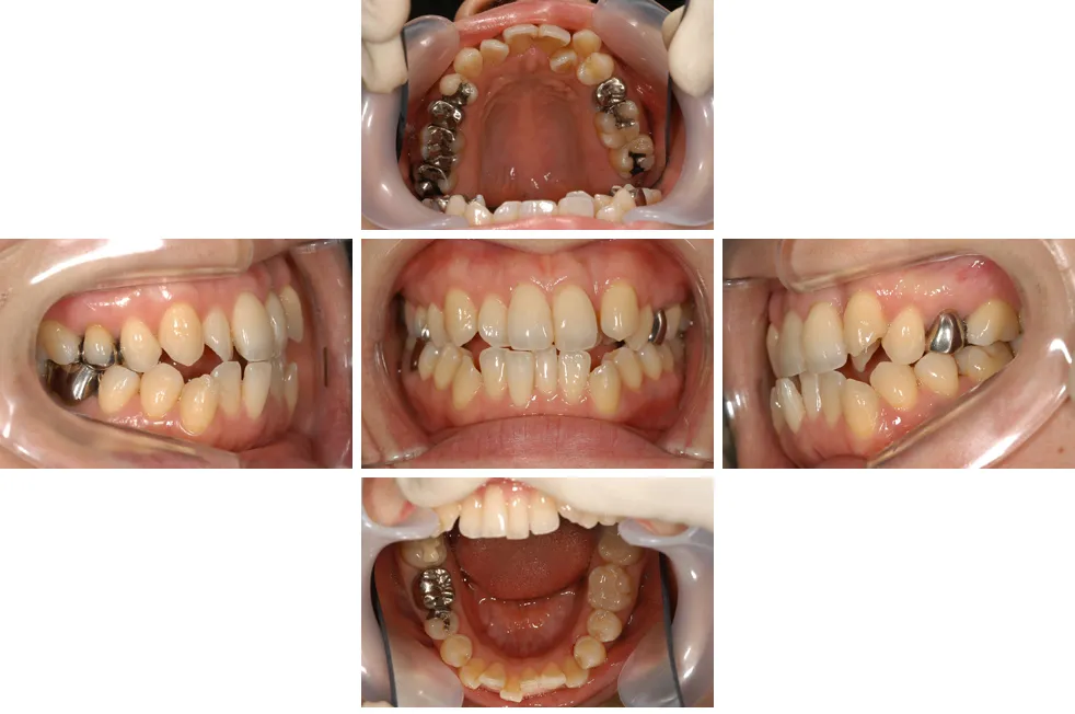
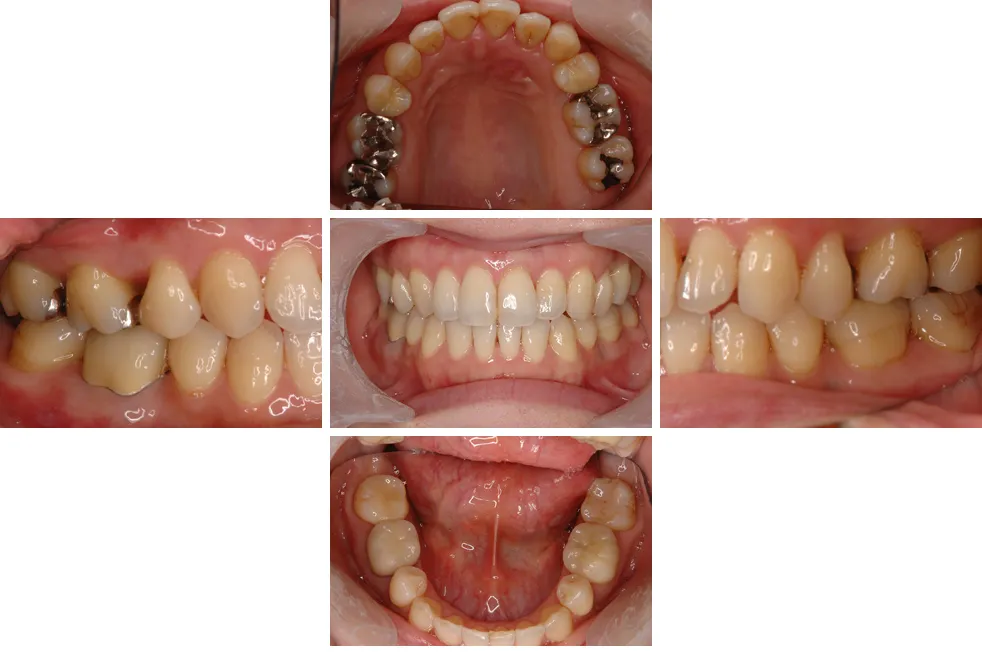
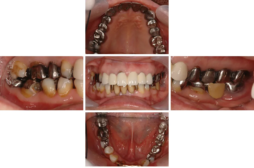
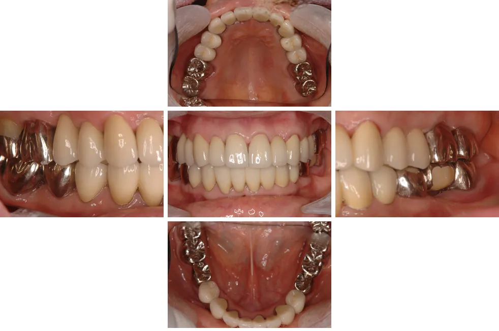
咬合挙上・インプラント治療・部分入れ歯
BEFORE

AFTER

- 年齢:
- 60代
- 性別:
- 女性
- 施術名:
- 咬合挙上・インプラント治療・部分入れ歯
- 施術説明:
- 上下の咬み合わせを改善し、全顎的補綴処置をおこなった。
- デメリット:
- 歯を削る必要がある。
- 費用:
- 17万6000円~(1本)
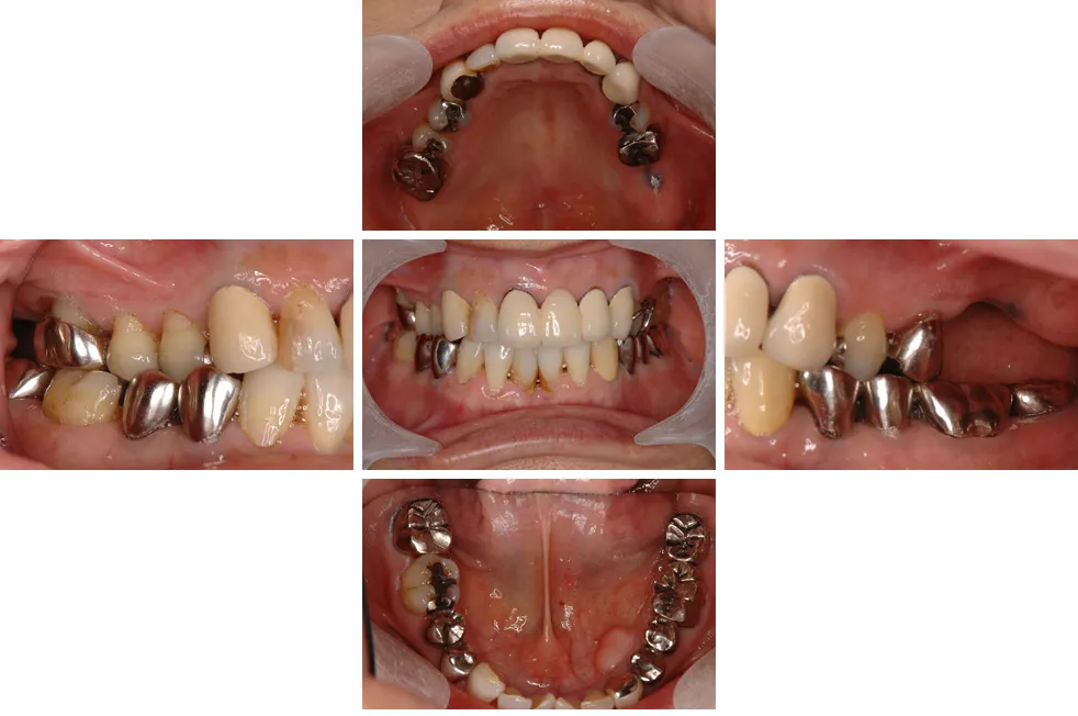
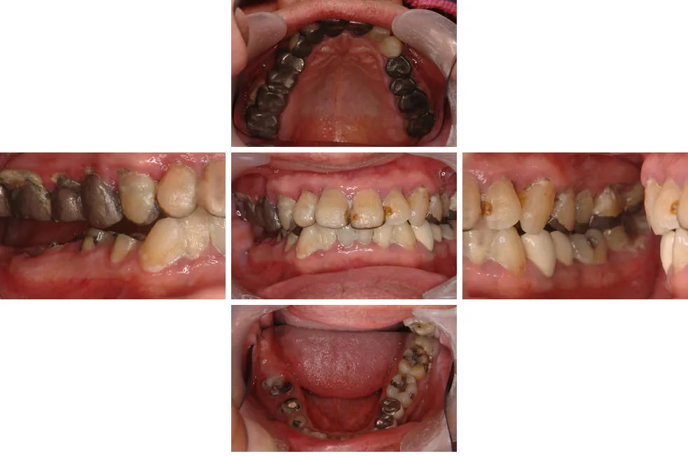
インプラント治療・被せもの治療
BEFORE

AFTER

- 年齢:
- 50代
- 性別:
- 男性
- 施術名:
- インプラント治療・被せもの治療
- 施術説明:
- 不良な被せものを除去し、全体を白い被せもので処置。欠損部をインプラント治療を実施。
- デメリット:
- 歯を削る必要がある。
- 費用:
- 17万6000円~(1本)
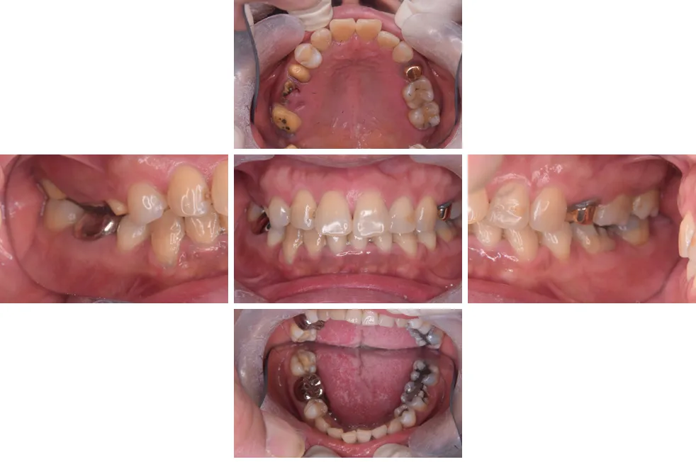
被せもの治療・インプラント治療
BEFORE

AFTER

- 年齢:
- 40代
- 性別:
- 女性
- 施術名:
- 被せもの治療・インプラント治療
- 施術説明:
- 不良な被せものを除去し全体を白い被せもので処置。
欠損部はインプラント(右上7、6、右下6、5、左下6)で処置。 - デメリット:
- 歯を削る必要がある。
- 費用:
- 40万円~(インプラント1本)
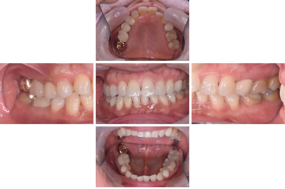
被せもの治療・インプラント治療
BEFORE

AFTER

- 年齢:
- 50代
- 性別:
- 男性
- 施術名:
- 被せもの治療・インプラント治療
- 施術説明:
- 不良な被せものを除去し全体を白い被せもの・金歯で処置。
左上欠損部はインプラント(左上4,5,6)で処置。
右下は白と金の被せものでブリッジ処置。 - デメリット:
- 歯を削る必要がある。
- 費用:
- 40万円~(インプラント1本)
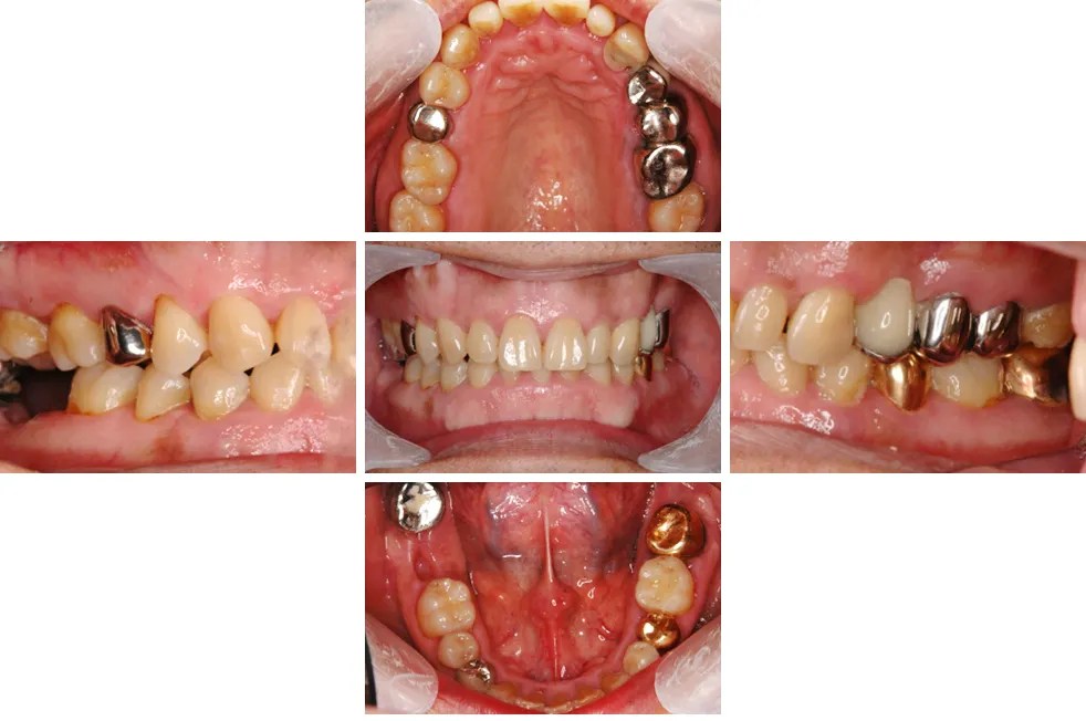
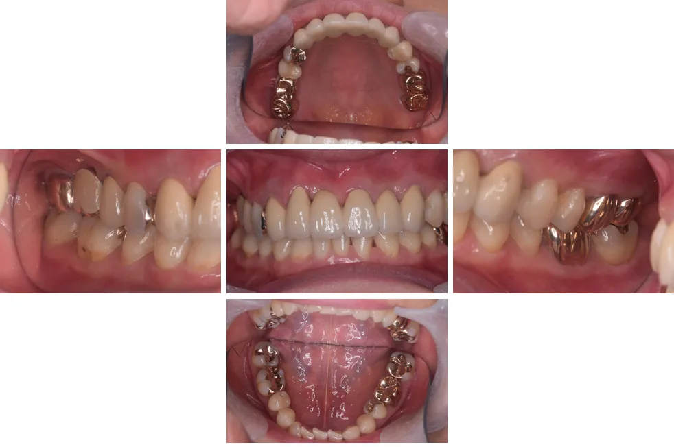
被せもの治療・インプラント治療
BEFORE

AFTER

- 年齢:
- 60代
- 性別:
- 女性
- 施術名:
- 被せもの治療・インプラント治療
- 施術説明:
- 不良な被せものを除去し白い被せもので処置。
欠損部はインプラント(左上6,7)で処置。 - デメリット:
- 歯を削る必要がある。
- 費用:
- 40万円~(インプラント1本)
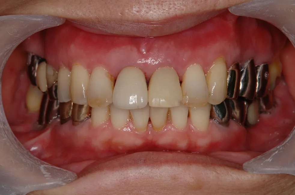
被せもの治療・インプラント治療・部分入れ歯
BEFORE

AFTER

- 年齢:
- 60代
- 性別:
- 女性
- 施術名:
- 被せもの治療・インプラント治療・部分入れ歯
- 施術説明:
- 不良な被せものを除去し白い被せもの・銀歯で処置。
上顎の欠損部は部分入れ歯で、下顎の欠損部インプラント(右下6)で処置。 - デメリット:
- 歯を削る必要がある。
- 費用:
- 15万4千円~(1本)
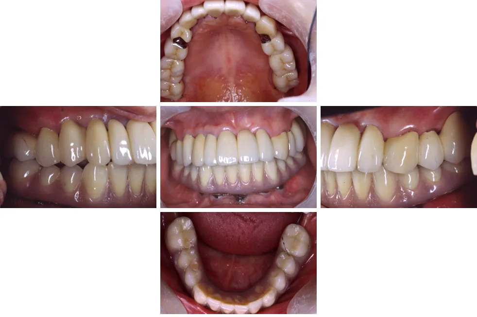
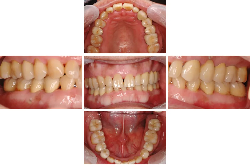
被せもの治療・インプラント治療
BEFORE

AFTER

- 年齢:
- 50代
- 性別:
- 女性
- 施術名:
- 被せもの治療・インプラント治療
- 施術説明:
- 上顎は、全体を被せもので処置。
下顎は、歯のない所にインプラントを植立し、高床式固定性ブリッジを装着。 - デメリット:
- 広範囲のインプラント手術による腫れ
- 費用:
- 200万円~(インプラント+高床式固定性ブリッジ)
矯正・インプラント治療・被せもの治療
BEFORE

AFTER

- 年齢:
- 50代
- 性別:
- 男性
- 施術名:
- 矯正・インプラント治療・被せもの治療
- 施術説明:
- 矯正により上下のかみ合わせを改善し、欠損部はインプラント処置をし、その他は被せもので処置。
- デメリット:
- 治療の長期化。
- 費用:
- 70万円~(矯正治療)
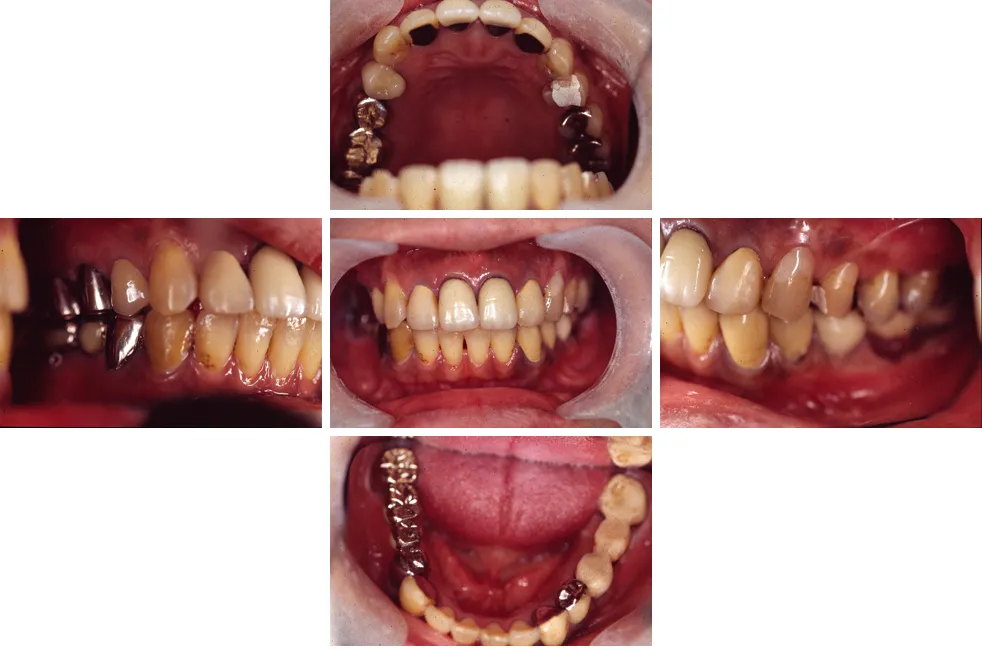
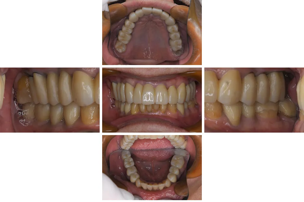
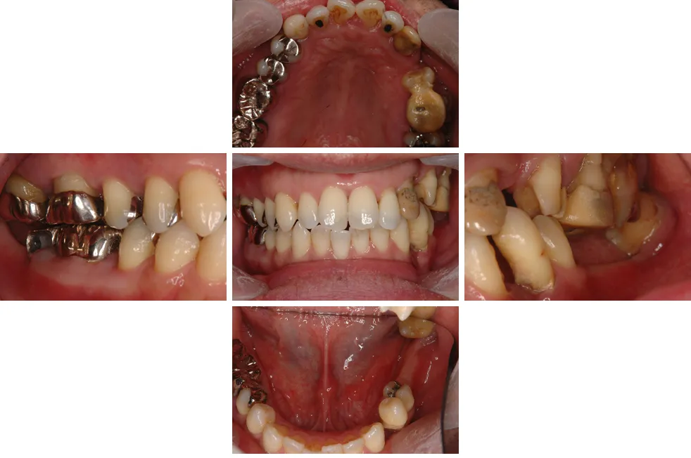
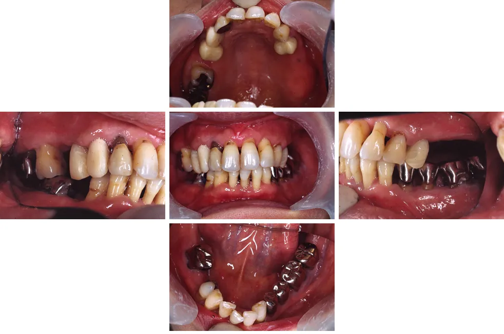
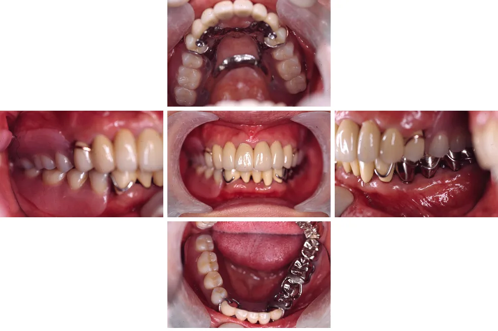
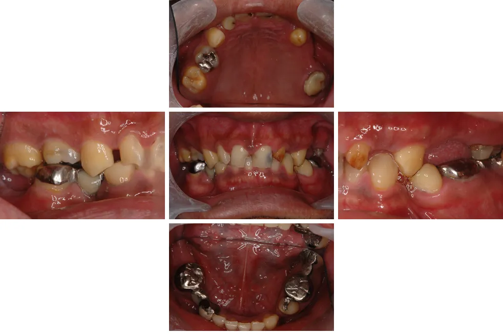
インプラント治療・総入れ歯・被せもの治療
BEFORE

AFTER

- 年齢:
- 60代
- 性別:
- 女性
- 施術名:
- インプラント治療・総入れ歯・被せもの治療
- 施術説明:
- 上顎は、状態の悪い歯を抜いて残った歯の根に磁石を埋め込めこみ、その磁石の力で入れ歯を吸いつかせる治療。
下顎は、左下奥2本をインプラント処置、その他は被せもの処置。 - デメリット:
- 入れ歯の出し入れが必要。
- 費用:
- 50万円~(金属床総入れ歯)
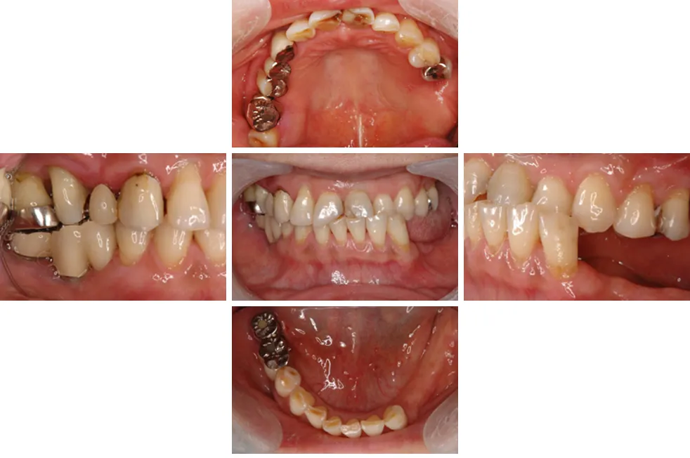
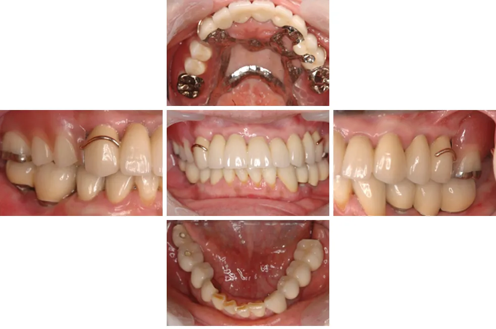
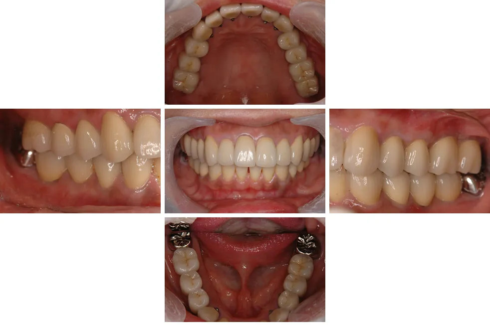
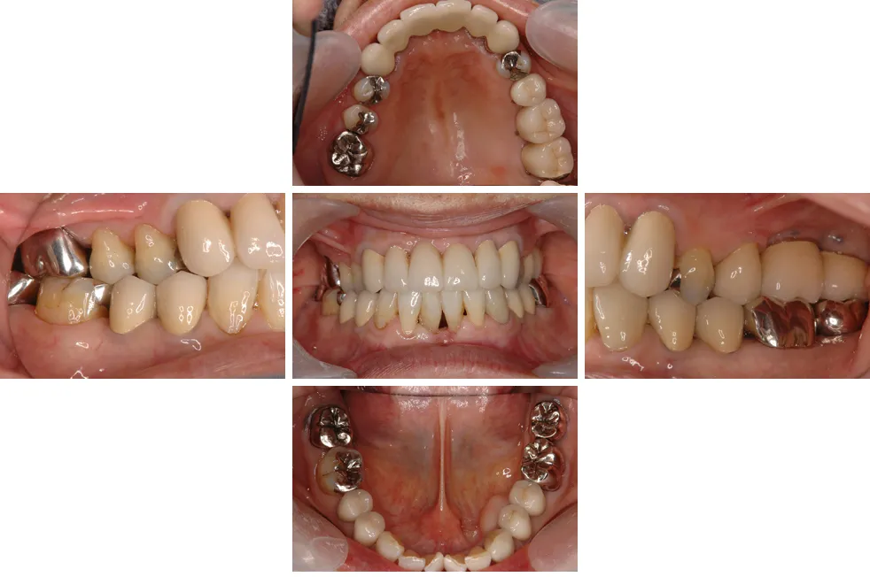
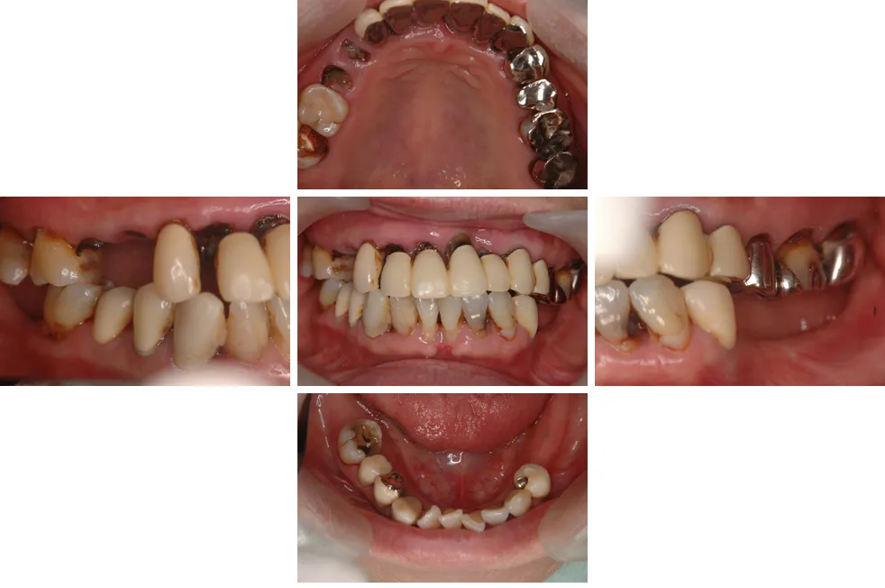
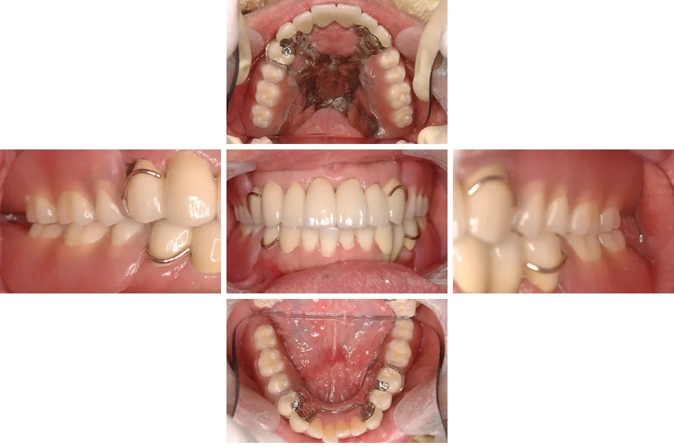
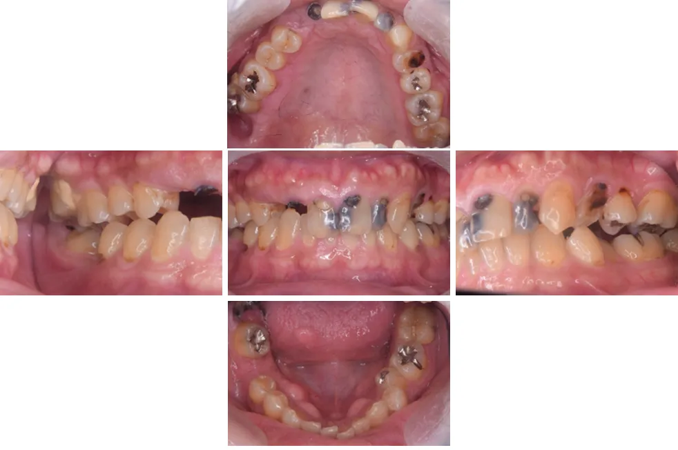
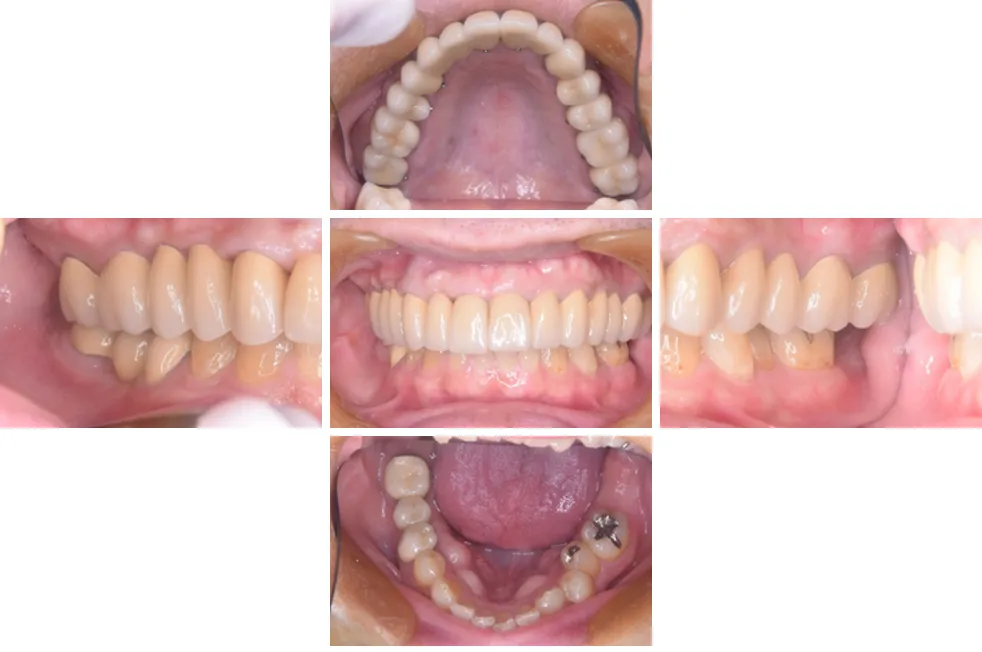
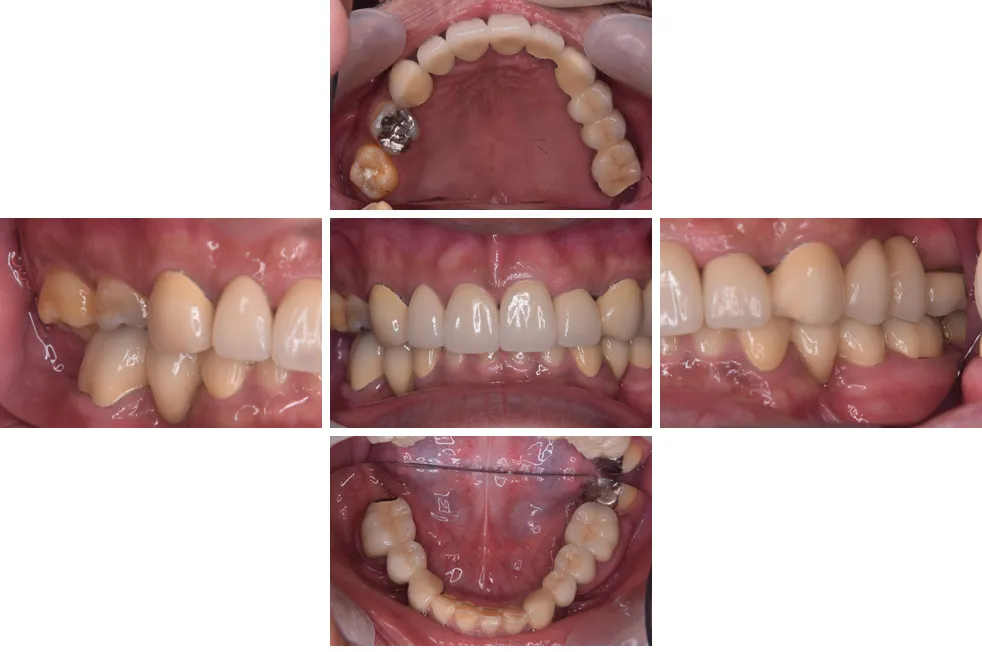
インプラント治療・被せもの治療・部分入れ歯
BEFORE

AFTER

- 年齢:
- 50代
- 性別:
- 男性
- 施術名:
- インプラント治療・被せもの治療・部分入れ歯
- 施術説明:
- 上顎は、被せものと部分入れ歯にて処置。
下顎は、左右奥にインプラントを植立し。その他は被せもの処置。 - デメリット:
- 入れ歯の出し入れが必要で、針金が目立つ。
- 費用:
- 40万円~(部分入れ歯)
入れ歯治療を含む症例
被せもの治療・部分入れ歯
BEFORE

AFTER

- 年齢:
- 40代
- 性別:
- 男性
- 施術名:
- 被せもの治療・部分入れ歯
- 施術説明:
- 不良な被せものを除去し全体を白い被せもので処置。
欠損部は金属床の部分入れ歯で処置。 - デメリット:
- 歯を削る必要がある。
入れ歯の出し入れが必要。 - 費用:
- 40万円~(部分入れ歯1床)
被せもの治療・部分入れ歯
BEFORE

AFTER

- 年齢:
- 50代
- 性別:
- 女性
- 施術名:
- 被せもの治療・部分入れ歯
- 施術説明:
- 不良な被せものを除去し全体を白い被せもので処置。
欠損部は金属床の部分入れ歯で処置。 - デメリット:
- 歯を削る必要がある。
入れ歯の出し入れが必要。 - 費用:
- 17万6千円~(1本)
被せもの治療を含む症例
咬合挙上・小矯正・被せもの治療
BEFORE

AFTER

- 年齢:
- 50代
- 性別:
- 男性
- 施術名:
- 咬合挙上・小矯正・被せもの治療
- 施術説明:
- 上下の咬み合わせを改善し、全顎的補綴処置をおこなった。
- デメリット:
- 歯を削る必要がある。
- 費用:
- 17万6000円~(1本)
外科矯正・被せもの治療
BEFORE

AFTER

- 年齢:
- 40代
- 性別:
- 男性
- 施術名:
- 外科矯正・被せもの治療
- 施術説明:
- 外科矯正により反対咬合を改善し、全顎的補綴処置をおこなった。
- デメリット:
- 外科処置による入院が必要。治療期間の長期化。
- 費用:
- 17万6000円~(1本)
矯正・被せもの治療
BEFORE

AFTER

- 年齢:
- 30代
- 性別:
- 女性
- 施術名:
- 矯正・被せもの治療
- 施術説明:
- 矯正治療にて歯並びを整え、下顎の銀歯を白い被せもので処置。
- デメリット:
- 矯正処置に年数を要する。
- 費用:
- 70万円~(矯正治療)
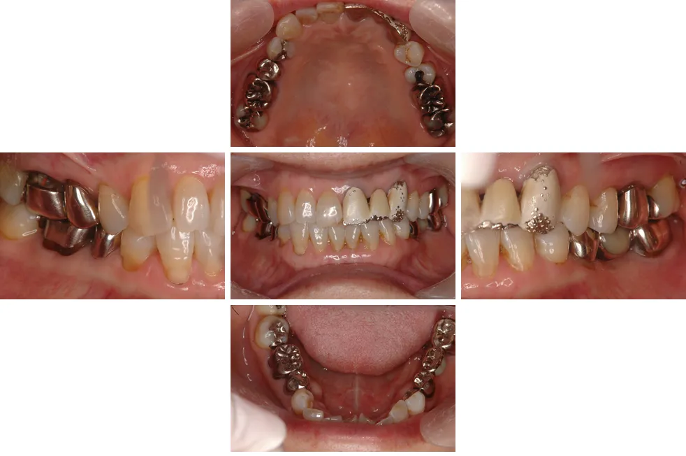
被せもの治療・部分入れ歯
BEFORE

AFTER

- 年齢:
- 60代
- 性別:
- 男性
- 施術名:
- 被せもの治療・部分入れ歯
- 施術説明:
- 不良な被せものを除去し全体を白い被せもの・金歯で処置。
欠損部は金属床の部分入れ歯で処置。 - デメリット:
- 歯を削る必要がある。
入れ歯の出し入れが必要。 - 費用:
- 40万円~(部分入れ歯)
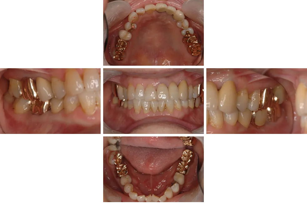
被せもの治療
BEFORE

AFTER

- 年齢:
- 50代
- 性別:
- 女性
- 施術名:
- 被せもの治療
- 施術説明:
- 不良な被せものを除去し全体を白い被せもの・銀歯で処置。
左下奥は銀歯のブリッジで処置。 - デメリット:
- 歯を削る必要がある。
- 費用:
- 15万4千円~(1本)
矯正治療・咬合挙上・被せもの治療
BEFORE

AFTER

- 年齢:
- 30代
- 性別:
- 男性
- 施術名:
- 矯正治療・咬合挙上・被せもの治療
- 施術説明:
- 上下のかみ合わせを改善し、白い被せもので全顎的補綴処置。
- デメリット:
- 歯を削る必要がある。
- 費用:
- 15万4千円~(1本)
被せもの治療
BEFORE

AFTER

- 年齢:
- 60代
- 性別:
- 女性
- 施術名:
- 被せもの治療
- 施術説明:
- 白い被せものと金の被せもの・つめもので処置。
前歯は白い被せもので処置。左下は白と金の被せもので処置。 - デメリット:
- 歯を削る必要がある。
- 費用:
- 4万円~(部分的詰め物1本)
被せもの治療
BEFORE

AFTER

- 年齢:
- 50代
- 性別:
- 女性
- 施術名:
- 被せもの治療
- 施術説明:
- 右上奥をブリッジ処置。左上と右下を被せもの処置。
- デメリット:
- 歯を削る。
- 費用:
- 30万円~(ブリッジ)
被せもの治療
BEFORE

AFTER

- 年齢:
- 50代
- 性別:
- 女性
- 施術名:
- 被せもの治療
- 施術説明:
- 前歯は白い被せものでブリッジ処置。右上奥歯は白と金の被せもので処置。
その他は金の被せもので処置。 - デメリット:
- 歯を削る必要がある。
- 費用:
- 13万2千円~(前歯の被せもの1本)
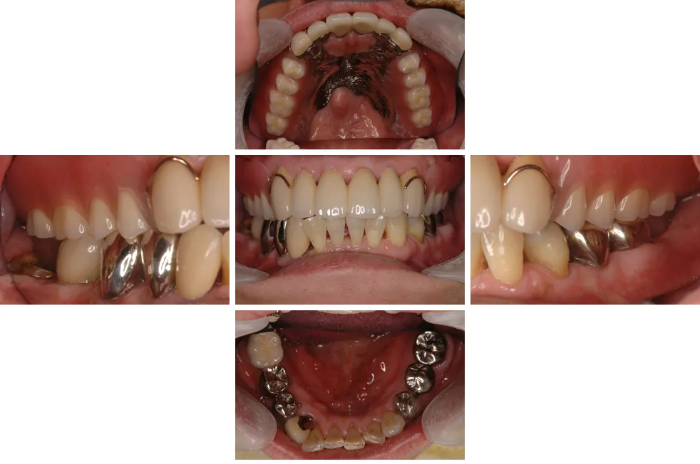
被せもの治療
BEFORE

AFTER

- 年齢:
- 70代
- 性別:
- 女性
- 施術名:
- 被せもの治療
- 施術説明:
- 前歯2本の不良な被せものを除去し崩壊した歯の根を抜いて、
左右両脇2本ずつを被せものにしてブリッジ処置。 - デメリット:
- 歯を削る必要がある。
- 費用:
- 17万6千円~(1本)

